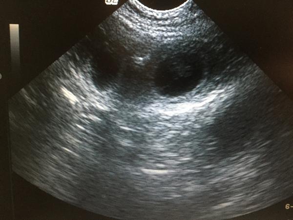
Drægtighedsscanning

DRÆGTIGHEDS SCANNING


Hos Hund & Fys kan du få scannet din tæve for at få bekræftet om der er hvalpe på vej.

For at opnå det bedste resultat, scanner vi fra dag 28 efter sidste parring.

Har du spørgsmål, er du velkommen til at kontakte os.


Husk vi justerer også hvalpe inden de flytter hjemmefra.